Call/Text Dr. McCarthy: (617) 615-6082 Hours: Mon–Thu 8–5 Practice info: Wollaston Dental Group

Smile Gallery

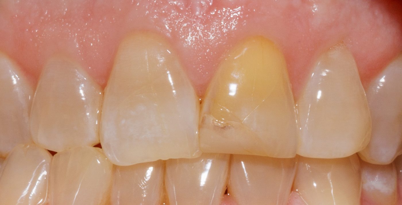
A few before-and-after examples of the care we provide.

Before & After Cases

A few before-and-after examples of real clinical work. Every smile is different—results vary and treatment is individualized.

Important: Photos shown with patient permission. Results vary based on oral health, anatomy, and treatment goals.

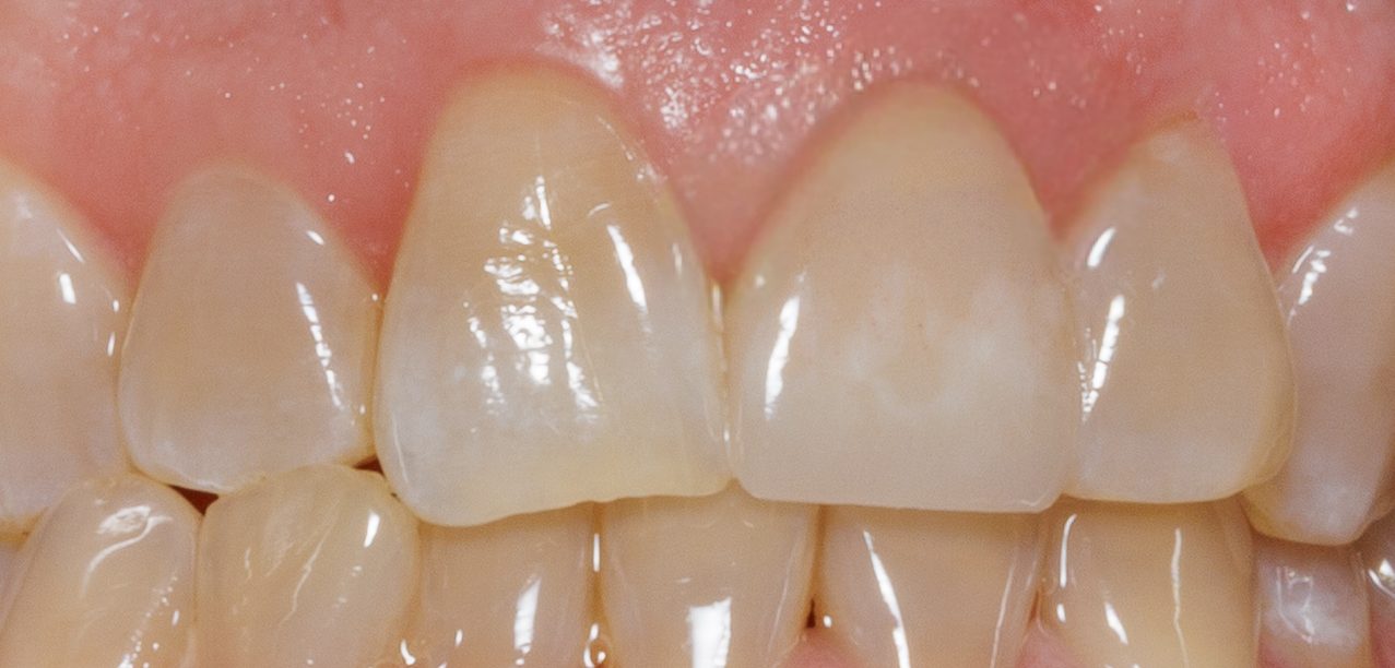
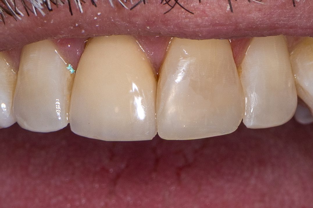
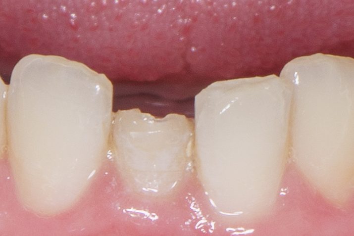
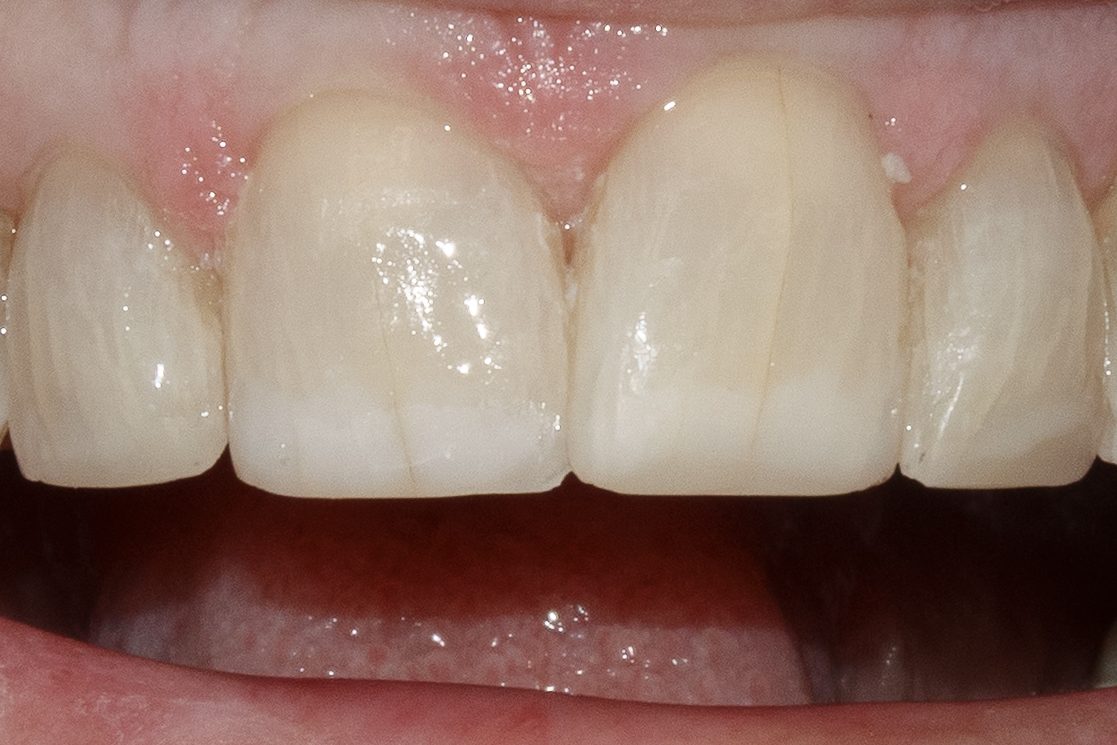
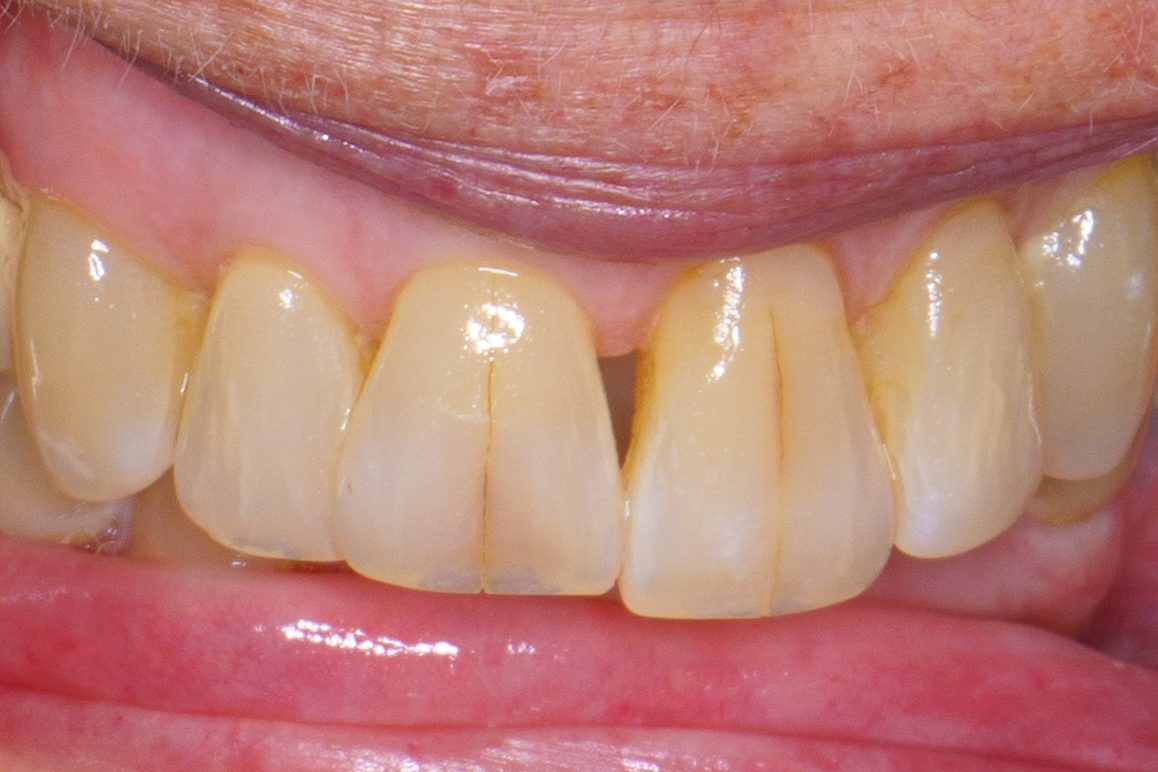
Composite Bonding

Conservative cosmetic restorations to repair chips, reshape edges, and improve symmetry.

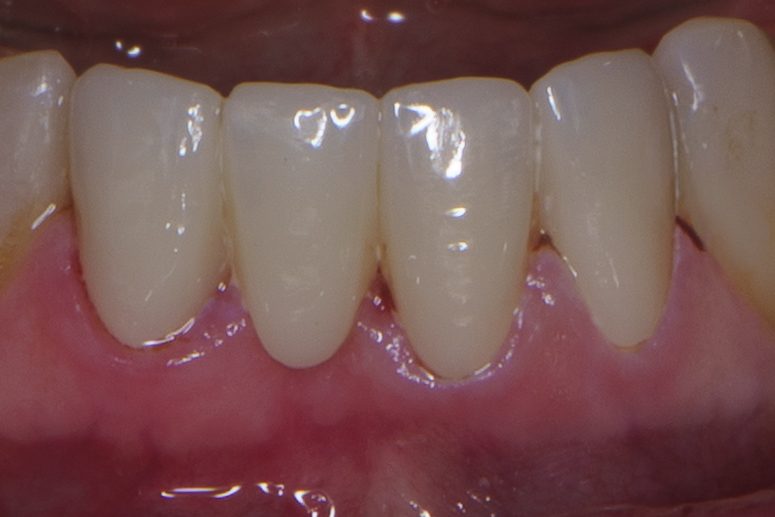
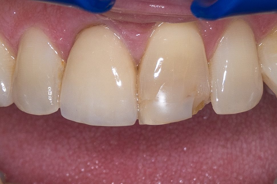
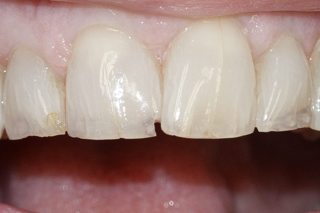
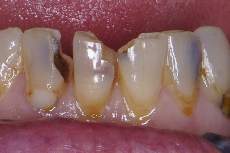
Crowns

All-ceramic crowns used to restore strength, function, and a natural appearance.

Request an Appointment